沐溦美學診所

Sunmax膠原蛋白針

SUNMAX 双美膚力原膠原蛋白

SUNMAX 双美膚力原膠原蛋白

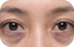
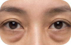
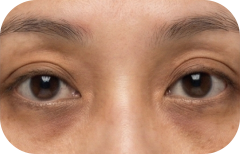
隨著歲月流逝、生活壓力加上作息不規律,使臉上的膠原蛋白快速流失,不僅讓臉頰凹陷、細紋增生,更讓黑眼圈、淚溝問題日益嚴重,視覺上顯得疲憊蒼老。 SUNMAX 双美膚力原膠原蛋白植入劑,不僅能改善肌膚鬆弛、細紋及凹陷等問題,更因為能高校改善黑眼圈問題,又被稱為「熊貓針」,為深受「熊貓眼」困擾的愛美人士帶來新希望。

双美膚力原膠原蛋白

什麼是膠原蛋白?
膠原蛋白是一種天然物質,主要由胺基酸組成,是人體中非常重要的蛋白質之一,主要存在於皮膚、骨頭、關節和筋膜中。能夠幫助皮膚保持彈性和光澤,減少皺紋和皮膚老化。

双美膚力原膠原蛋白使用國際 AAALAC 認證的政府機關農科院所培育之 SPF 無特定病源豬皮原料,與人體 DNA 高度相似度。成分為第 I 型 Atelocollagen,植入後對蛋白酶適度抵抗後,分散的膠原蛋白會形成柔軟具黏性的纖維狀結構,可停留於植入部位,改善膚質、增加彈性和減少皺紋,提供即時修復與保養的雙重作用。
 

黑眼圈救星 - 淡化黑色素及黑眼圈

双美膚力原膠原蛋白針又被稱為「熊貓針」的主要原因,在於本身為淡淡的乳白色,在施打後可以立即有遮蓋黑眼圈的效果,加上膠原蛋白的降解產物中,含有多種能抑制黑色素活性的成分,能避免生成並淡化黑色素、活化明亮眼周區域,同時改善淚溝凹陷。
 

 

色素型

血管型

結構型

混合型

 

成因

體質、長期日曬、
卸妝不完全等因素造成色素沉澱
過敏體質、敏感肌、長期熬夜、
用眼過度等因素,使皮膚老化變薄
眼周肌膚老化導致眼袋下垂或凸起
造成眼下陰影
複合型因素導致
常見於現代 3c 族群

特徵

茶色黑眼圈
上下眼皮皆可能呈現色素沉澱
青、紫色黑眼圈
手輕壓眼周,周圍膚色會變淡
黑、肉色黑眼圈
眼周肌膚粗糙,出現淚溝或眼袋
混合前者兩種以上類型

建議療程

皮秒雷射 膠原蛋白熊貓針
三倍光
膠原蛋白熊貓針
淚溝針劑填補(玻尿酸、膠原增生劑)
 
依狀況制訂複合式療程

双美膚力原六大特色

舒適安全
內含利多卡因不需另外混合麻藥,施打過程舒適;材質能自然地被皮膚組織吸收降解,不殘留。

支撐不移位
膠原蛋白具有抗拉韌性強的支撐性及較高的彈性,膠原植入後不易造成位移,故可臉部輪廓雕塑。

修復期短
不吸水膨脹的特性,因此術後也不易腫脹、不易造成瘀青,同時具止血修復功能,適用於血管豐富的區域如眼皮、眼周或易瘀青體質的病患。

緊緻拉提
直接補充膠原蛋白,促進膠原與彈性纖維,膠原蛋白的高黏彈性與內聚力特性,注射方式達到拉提效果。

亮白肌膚
淡化肌膚黑色素,產生的胺基酸能有效抑制酪胺酸酶活性,降低黑色素生成。

自然遮瑕
於眼周肌膚填充膠原蛋白,注射後呈現自然,不會產生顆粒感。乳白色劑型,能夠將血管顏色瞬間隔絕與遮蓋,淚溝、黑眼圈可立即改善
 

三大專利技術

專利純化技術去除端肽
双美專利獨特的技術能有效的去除可能致敏的端肽(Telopeptide),去除端肽的膠原蛋白氨基酸序列,99.9% 以上與人體的膠原蛋白相同,自然相容於肌膚底層讓自體膠原重生。

PF 多纖維誘導技術
單一的膠原蛋白分子,在生物體內會自然凝聚成纖維束。經纖維誘導技術處理後的膠原蛋白,纖維束之間能更完整有效的緊密堆疊。

DUALINK 生物活性交聯技術
交聯型膠原蛋白供給細胞營養,促進纖維母細胞的再造能力時間更長
 

双美膚力原適合對象

  1. 黑眼圈、淚溝凹陷
  2. 眼周細紋、肌膚鬆弛
  3. 膚色黯沉、毛孔粗大
  4. 臉部輪廓修飾

膠原蛋白植入劑,皮膚管理,醫學美容,膠原蛋白,桃園膠原蛋白,中壢膠原蛋白,青埔膠原蛋白,撫平細紋,抗老,熊貓針,黑眼圈

術前注意事項

  1. 計畫懷孕、懷孕及哺乳中的婦女,以及臉部有發炎、感染,或是嚴重蟹足腫體質、皮膚疾病者,不建議施打。
  2. 如有服用心血管疾病及使用抗凝血藥物等患者,須經由醫師評估。
  3. 如施打部位曾動過手術或放置假體,或近期曾使用過填充物治療者,應事先於術前告知醫師。
  4. 注射前1天避免熬夜,2週前停止服用阿斯匹林成分藥物,以避免注射部位發生瘀血。

術後注意事項

  1. 注射部位可能會出現腫脹、瘀血、疼痛、搔癢皆屬正常現象,約3-5天左右會逐漸舒緩。
  2. 當天需避免化妝,且勿使用較刺激的保養品。
  3. 酸類換膚療程或產品需暫停1週,避免皮膚過度刺激。另外,不可使用熱水清洗臉部,以免影響術後療效。
  4. 一週內避免去溫泉、烤箱蒸氣室等高溫場所,並做好防曬、隔離及保濕工作。
  5. 避免食用刺激性食物。

Q:施打「双美膚力原膠原蛋白針」安全嗎?

双美膚力原膠原蛋白針成分與人體自身的膠原蛋白分相似度高達99.9%以上,對人體無免疫問題的疑慮,過敏機率低,並具高生物相容性,可被人體膠原蛋白酶分解,因此不會有殘留疑慮。膠原蛋白不易吸水,施打後不易腫脹,術後恢復時間短。加上膠原蛋白本身是很好的凝血劑,有止血、受損組織修復的功能,因此對於血管豐富的區域或是易瘀青體質的患者較為安全。

Q:「双美膚力原膠原蛋白針」的維持期有多久?

双美膚力原膠原蛋白針可維持平均6-12個月,前三個月至半年的營養活性期代謝黑色素的效用最佳,後續會逐漸被自體完全吸收代謝。但實際的維持期間仍會依施打部位、劑量、個人體質,與生活作息等變因而影響膠原蛋白的降解速度。
建議剛開始可以每4個月到半年一次的頻率進行定期保養,藉由膠原蛋白代謝、增生的過程不斷抑制黑色素,幾次療程後便可明顯感覺到黑眼圈逐漸變淡,之後即可延長到1至2年施打。

Q:眼周問題適合「双美膚力原膠原蛋白針」?

膠原蛋白是維持人類青春的重要元素,對於眼周的老化現象(如淚溝、黑眼圈、眼袋等)也扮演不同的作用。
如果是色素型的暗沉黑眼圈,經由膠原蛋白針淡化黑色素即能得到不錯的改善,同時也能讓容易老化的眼周變得年輕。

Q:双美膚力原膠原蛋白針」與市面上其他產品有什麼不一樣?

  1. 双美膚力原膠原蛋白針主成分為「純化的膠原蛋白」,與人體自身的膠原蛋白相似度高達99.9%,且膠原蛋白的降解中自然就會產生胺基酸等營養素,因此不須再額外添加,也讓針劑的純度和安全性更有保障。
  2. 此外,双美膚力原膠原蛋白針除了能夠針對凹陷所導致得結構型黑眼圈進行填補之外,也能改善來自於過敏體質、血液循環不良的血管型黑眼圈,以及暗沉的色素型黑眼圈,並改善眼周皺紋,提升肌膚緊緻度。

Q:為什麼選擇「膚力原膠原蛋白」?

產品以安全特殊的鈍針技術,充分掌握針劑材料的特性,加上淚溝、黑眼圈的應用,能同步減緩眼周細紋,讓療程的改善效果更全面。
☑安全 - 成分與人體自身的膠原蛋白分相似度高,對人體無免疫問題的疑慮,過敏機率低,並具高生物相容性,可被人體膠原蛋白酶分解,因此不會有殘留疑慮。
☑自然 - 膠原蛋白不易吸水,施打後不易腫脹,術後恢復時間短。
LINE@ FACEBOOK INSTAGRAM 預約諮詢